Situation initiale: l'incisive centrale gauche doit être extraite à cause d'une infection importante de la racine ayant entraîné une perte osseuse importante autour de cette dent.
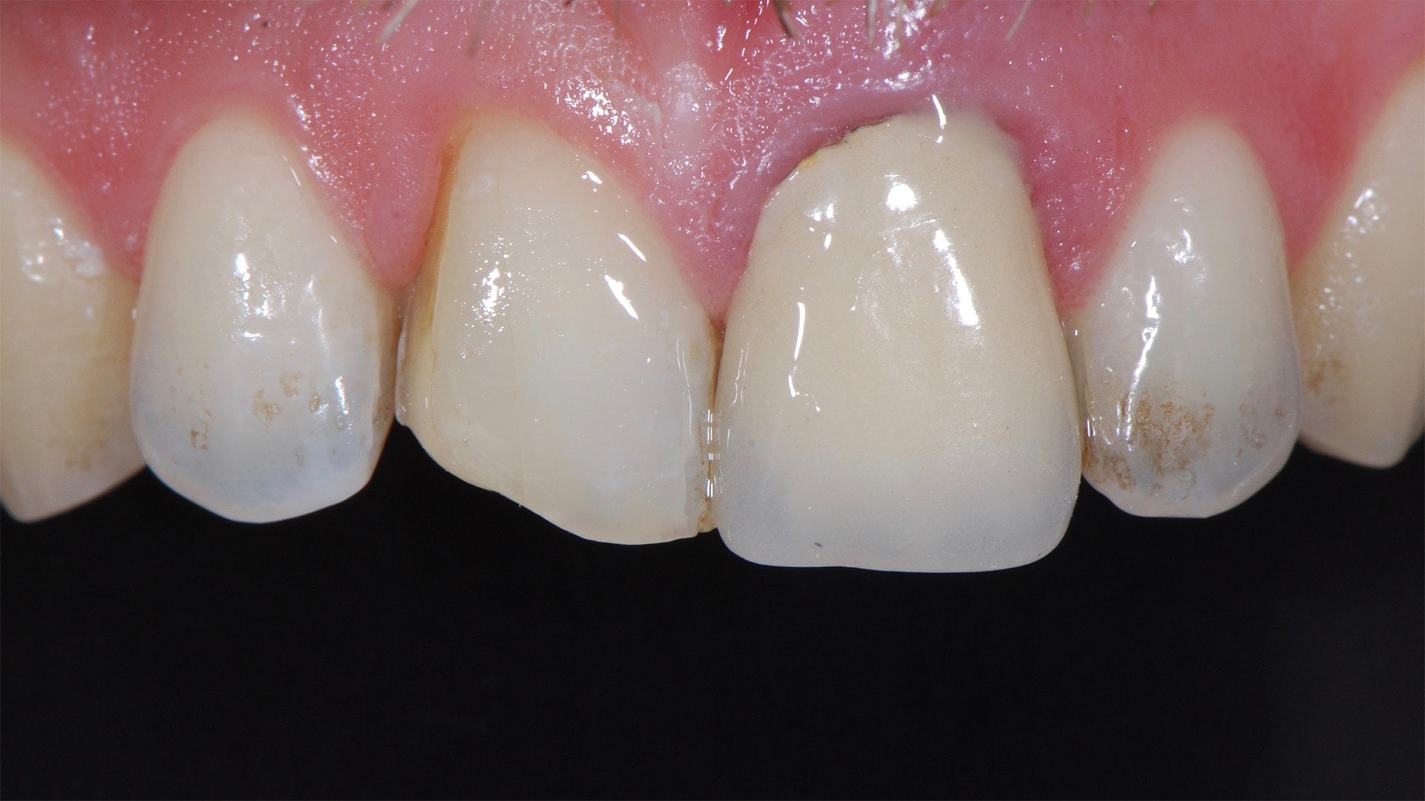
Vue intra-buccale.
Cette coupe pré-opératoire du cône beam met en évidence la perte osseuse autour de la racine de cette incisive: ce genre de défaut osseux nécessite un traitement en 3 phases: extraction de la dent, 2 mois plus tard greffe osseuse, 4 mois plus tard pose de l'implant, et enfin 3 mois plus tard pose de la couronne sur implant. Pendant les 9 mois de traitement, le patient portera un provisoire fixé sur l'incisive centrale droite.
Cicatrisation 2 mois après l'extraction. L'incisive centrale droite a été préparée pour supporter le provisoire fixé.
Coupe du cône beam avant greffe osseuse
Coupe du cône beam après greffe osseuse (régénération osseuse guidée).
Coupe du cône beam après pose de l'implant
Après ostéo-intégration de l'implant, un pillier en zircone est transvissé sur l'implant.
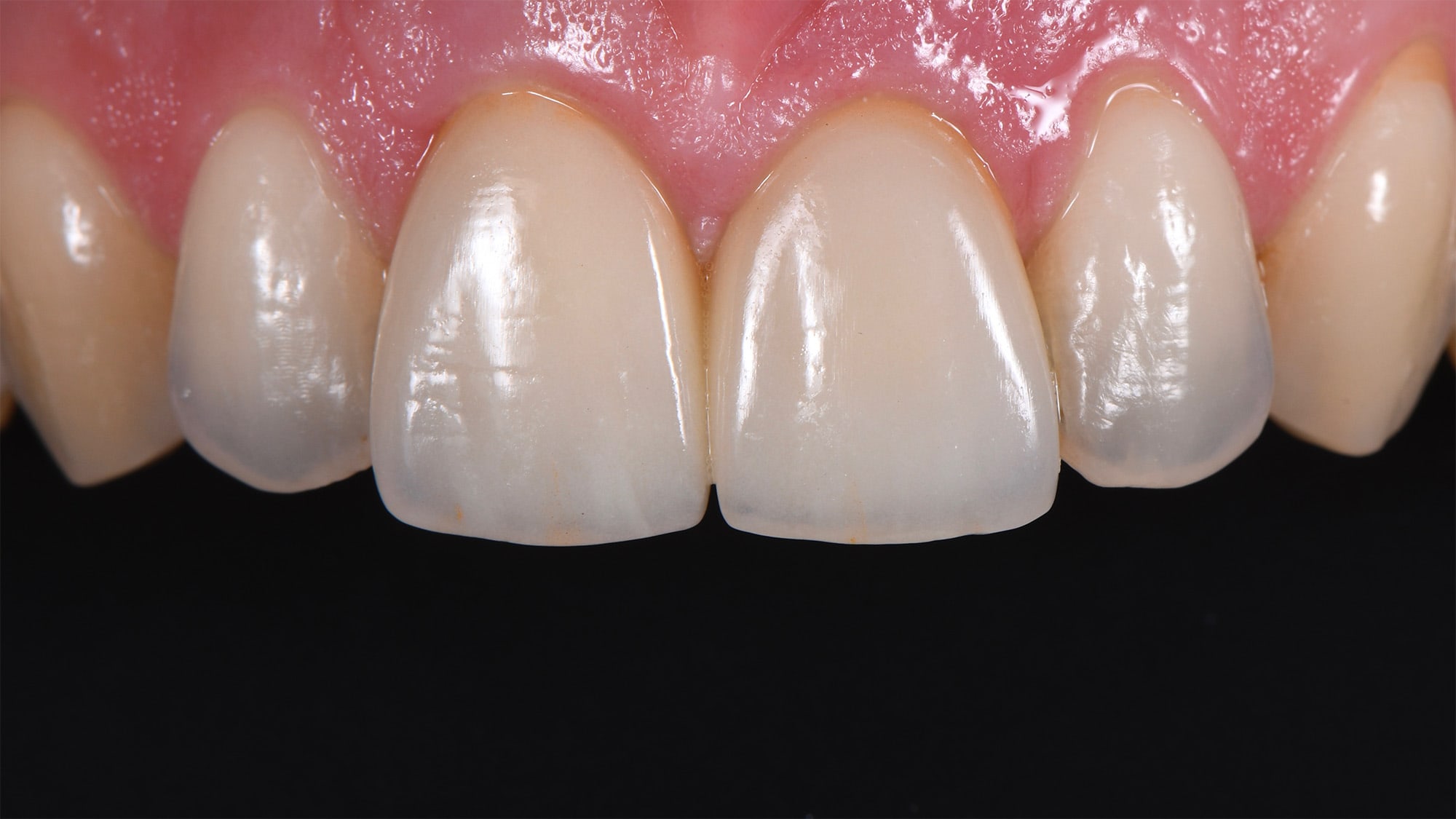
Puis les couronnes en céramique sont posées.
Contrôle de la teinte des couronnes au spectrophotomètre.
Vue post-opératoire.
Vue du sourire du patient après traitement.