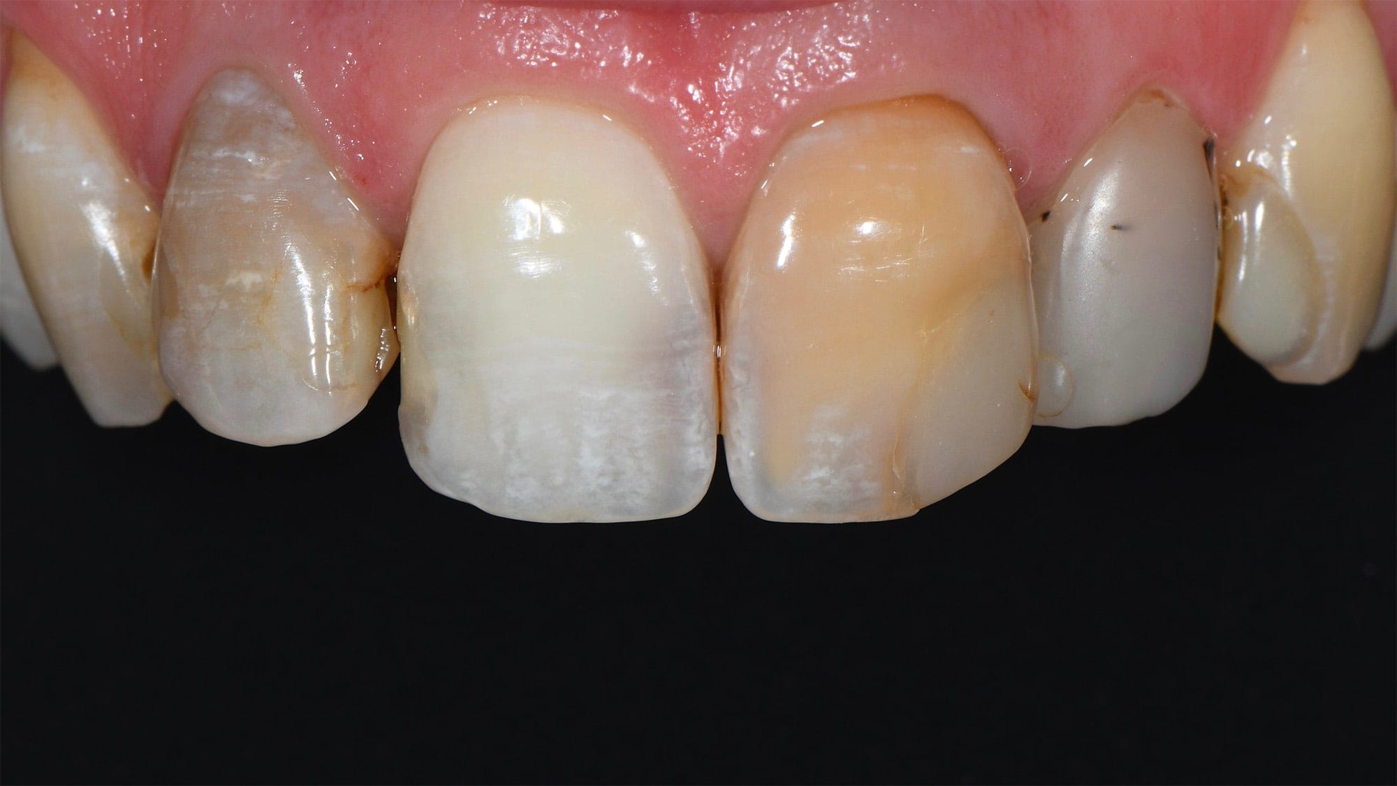
Situation initiale.
Certaines dents sont très colorées suite à des traitements endodontiques. On peut noter aussi une asymétrie de forme entre les 2 incisives centrales, ainsi que des composites inesthétiques.
Dans un premier temps, un blanchiment interne est effectué au niveau des dents dyschromiques. Cela nous permettra d’utiliser des céramiques plus translucides (donc plus naturelles) au cours de la 2e phase du traitement.
Après blanchiment interne.
Dans un second temps, des restaurations en céramique sont collées sur les dents de devant pour parfaire le résultat.
Situation initiale.