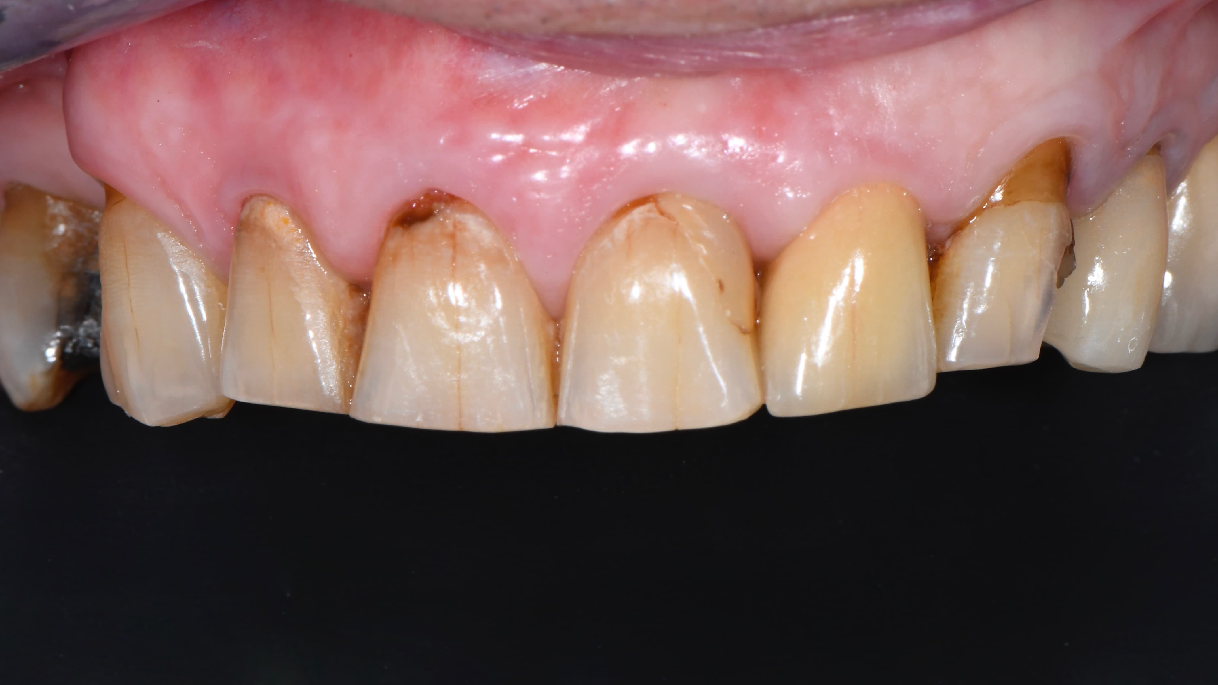
Situation initiale: ce patient souffre de troubles esthétiques et fonctionnels.
Caries, usure et infections endodontiques sont responsables de ces troubles.
Un traitement global est envisagé pour restaurer la fonction et l'esthétique.
Avant de commencer le traitement, un masque diagnostic en résine est réalisé afin de tester le projet prothétique sur les plans esthétique et fonctionnel.
Vue de l'arcade supérieure à la fin du traitement.
Nouveau sourire.
Avant traitement.
Après traitement.