Skip to content
Cabinet Reine Blanche
Home
Treatment
Principles of Treatment
Elimination of infectious foci
Ceramic adhesive restorations
Dental implants
Orthodontics
Improving your smile
Technical platform
Cone beam
CAD
Micro dentistry
Guided surgery
Smile design
Clinical cases
Ceramic facets
Ceramic crowns
Ceramic inlays
Pre-implantation surgery
Implants
Endodontic treatment
The Team
Contact Us
01 45 35 05 05
12 - 14 rue Berbier du Mets 75013 PARIS
Fermer
Home
Treatment
Principles of Treatment
Elimination of infectious foci
Ceramic adhesive restorations
Dental implants
Orthodontics
Improving your smile
Technical platform
Cone beam
CAD
Micro dentistry
Guided surgery
Smile design
Clinical cases
Ceramic facets
Ceramic crowns
Ceramic inlays
Pre-implantation surgery
Implants
Endodontic treatment
The Team
Contact Us
Preoperative view.
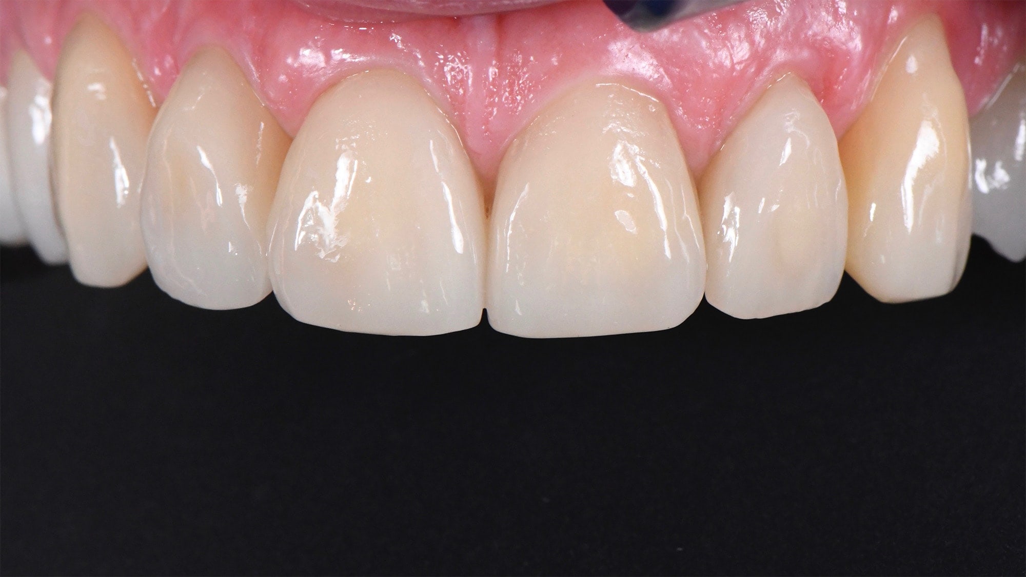
Postoperative view.
Clinical realization:
Docteur David BAKHOUCHE
Go back >
Go to Top