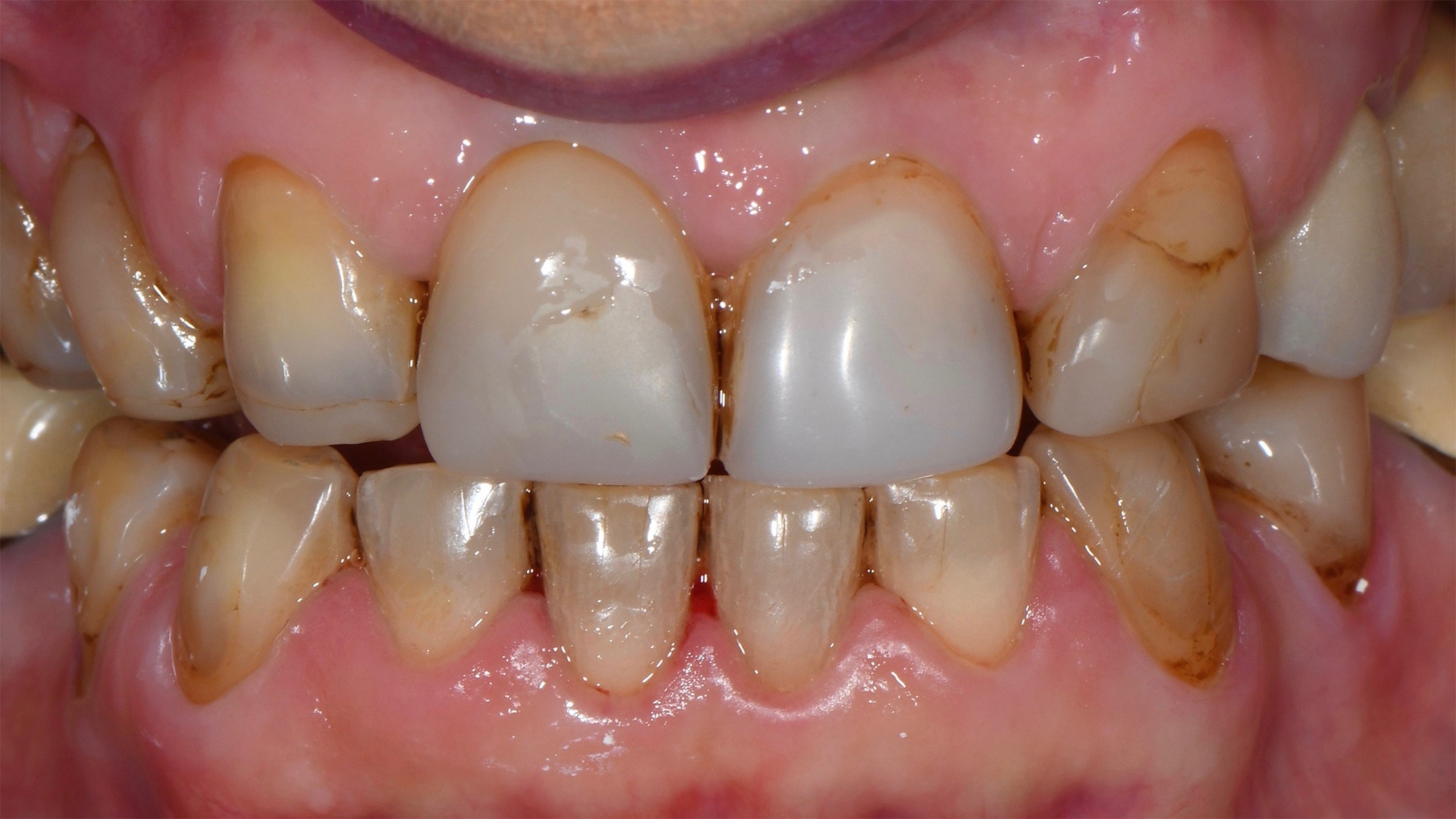
Pre-operative view: This patient came in because she would like to improve her smile.
Intraoral view: teeth are short and lack light.

Dental arch molding casts are created to plan the treatment.

Then wax for simulating the future teeth of the patient are made by the prosthetist.
These wax up will be transferred to the mouth (diagnostic mask) to test the aesthetics and function (chewing and phonation) of this prosthetic project.
The crowns and ceramic facets are then made.
Post-operative view after gluing ceramic crowns.
Post-operative view after gluing ceramic facets.
Physiological contacts restored between the upper and lower teeth.
New patient smile.